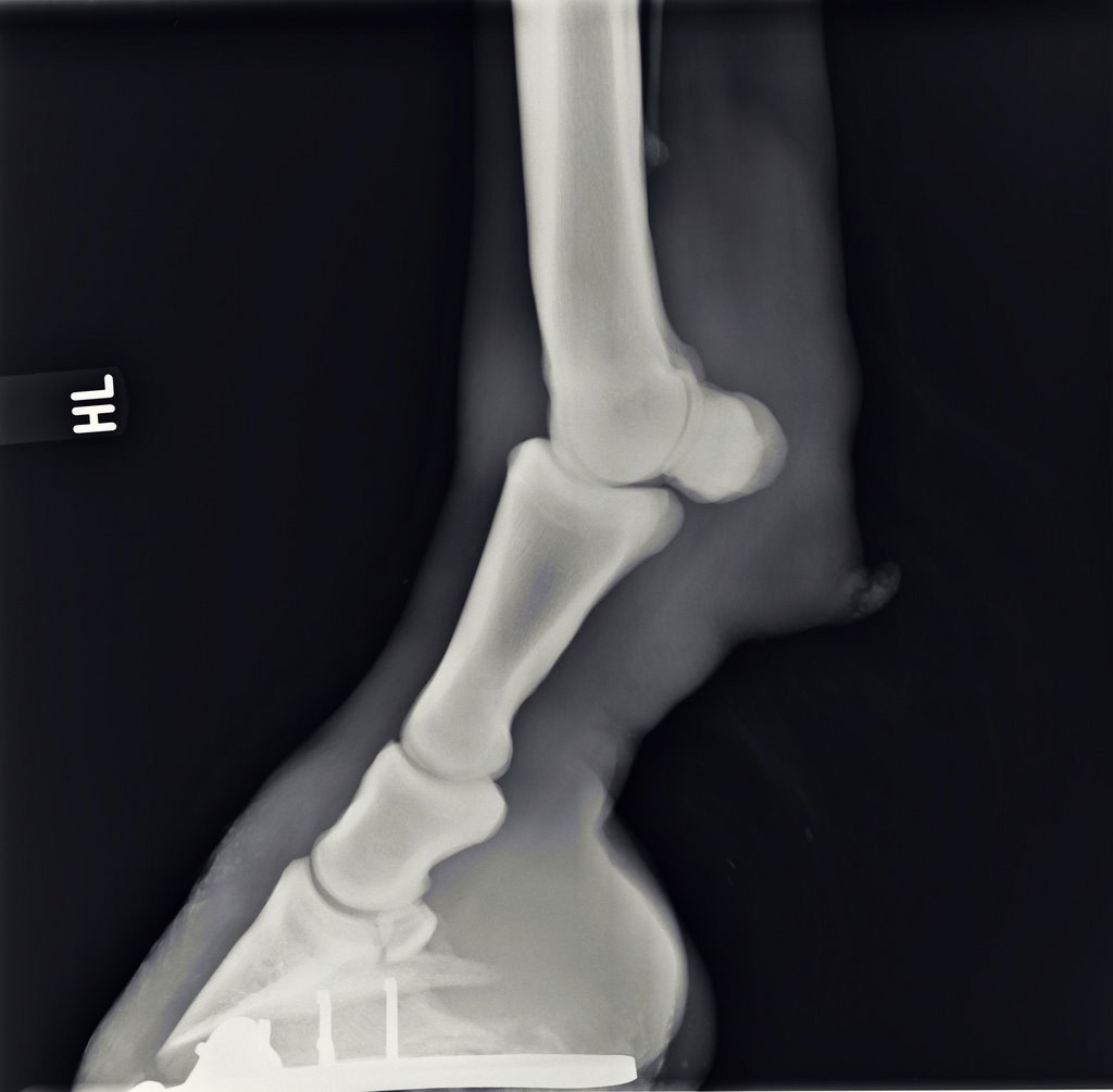
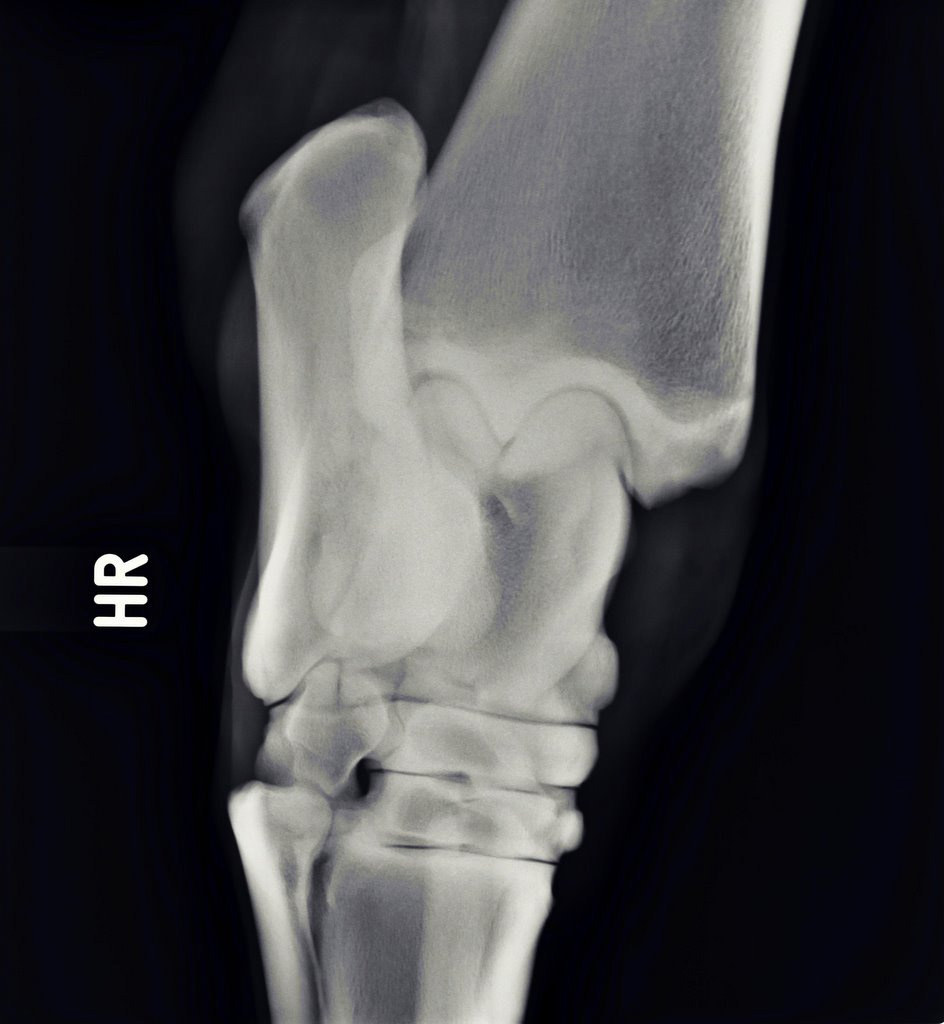
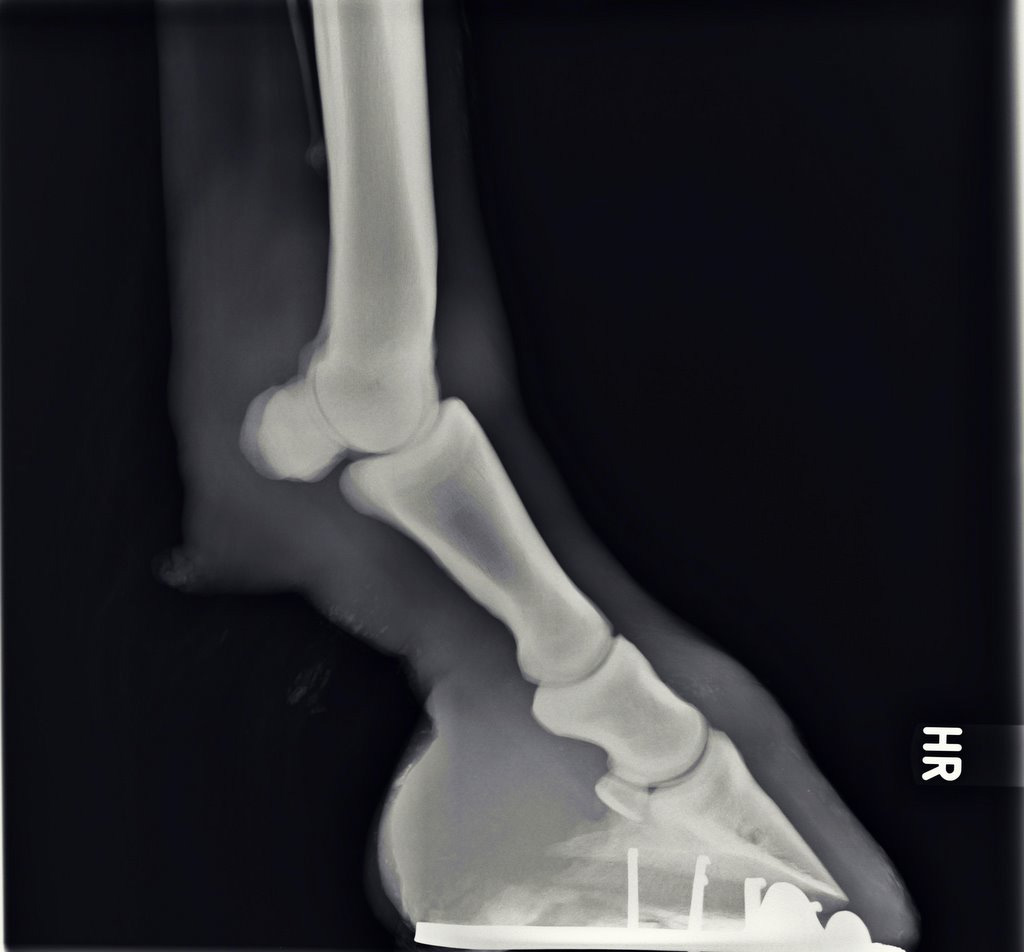
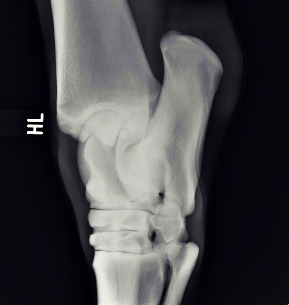
Röntgenuntersuchung
Häufig sind im Rahmen von Ankaufsuntersuchungen zusätzlich zur klinischen Untersuchung Röntgenbilder zur genaueren Beurteilung des untersuchten Pferdes angezeigt. Die röntgenologische Untersuchung kann standardmäßig nach dem in Deutschland häufig verwendeten „Leitfaden für die röntgenologische Beurteilung bei der Kaufuntersuchung des Pferdes (Röntgenleitfaden 2007)“ durchgeführt werden. Zum Standard gehören hiernach 10-12 Aufnahmen, bzw. zum erweiterten Standard zusätzlich Aufnahmen von den Knien und dem Rücken.
Für die Beurteilung wird eine Unterteilung in 4 Klassen vorgenommen:
- Klasse I: Röntgenologisch ohne besonderen Befund und Befunde, die als anatomische Formvarianten eingestuft werden (Idealzustand).
- Klasse II: Befunde, die gering von der Norm abweichen, bei denen das Auftreten von klinische Erscheinungen in unbestimmter Zeit mit einer Häufigkeit unter 3 % geschätzt wird (Normzustand).
- Klasse III: Befunde, die von der Norm abweichen, bei denen das Auftreten von klinischen Erscheinungen in unbestimmter Zeit mit einer Häufigkeit von 5% bis 20% geschätzt wird.
- Klasse IV: Befunde, die erheblich von der Norm abweichen, bei denen klinische Erscheinungen wahrscheinlich (über 50%) sind (Risikozustand).
Zusätzlich zu den oben genannten Klassen sind so genannte Zwischenklassen möglich. Diese sollen zum Ausdruck bringen, dass unterschiedliche Untersucher aufgrund persönlicher Erfahrungen möglicherweise eine voneinander abweichende Klasseneinteilung vornehmen würden.
Es ist hierbei anzumerken, dass es sich bei den im Röntgenleitfaden beschriebenen Bildern um so genannte Übersichtsaufnahmen handelt. Die Detailerkennbarkeit ist daher geringer als wenn die Bilder von den jeweiligen Strukturen beziehungsweise Gelenken einzeln und zusätzlich aus verschiedenen Ebenen aufgenommen werden. Der Tierarzt kann nur beurteilen was auf dem Röntgenbild tatsächlich zu sehen ist. Gegebenenfalls sollten zur Verifizierung eines schwerwiegenden Befundes, bzw. im Zweifellsfalle weitere Detailaufnahmen angefertigt werden.
Der Röntgenleitfaden der Gesellschaft für Pferdemedizin e.V. und der Bundestierärztekammer zum Download:
Illustrative Mindeststandardaufnahmen zur Beurteilung nach dem Röntgenleitfaden:













